- 自然な美しさと機能性を兼ね備えた審美歯科
- 審美歯科とは
- 強さと美しさを両立する被せ物・詰め物
- 当院の詰め物・被せ物メニュー
- 前歯の美しさを整える治療
- 口元のバランスを整える治療
- 自然な美しさと機能性を両立する審美治療
自然な美しさと機能性を兼ね備えた審美歯科

当院の審美歯科では、自然な美しさと機能性を両立する治療をご提供しています。
強度と耐久性に優れた素材を用いた詰め物・被せ物治療をはじめ、前歯の形や色を整えるラミネートベニア、すき間や小さな欠けを補うダイレクトボンディング、歯の白い斑点(ホワイトスポット)を目立たなくするICON(アイコン)治療など、さまざまな方法に対応しています。
また、笑ったときに歯ぐきが見えすぎる「ガミースマイル」には、ボツリヌス治療(ボトックス注射)による改善も行っています。
どの治療も、できるだけ歯を削らず、自然な見た目と快適な噛み心地を目指しています。
当院では、患者さま一人ひとりのご希望やお口の状態に合わせたオーダーメイドの審美治療を行っています。口元の美しさと健康を両立させたい方は、ぜひお気軽にご相談ください。
審美歯科とは
審美歯科とは、歯の色や形、並び方といった見た目の美しさに加えて、噛む・話すなどの機能面も大切に考えながら、口もとの印象を整えていく治療分野です。
一般歯科が主に病気の治療や機能回復を目的とするのに対し、審美歯科では見た目と機能の両面をバランスよく高めることに重点を置いています。
「きれいに見える」だけでなく、日常生活において快適に使え、長く安定した状態を維持できるよう配慮した治療を行います。
患者さまそれぞれのご希望やお口の状態に応じて、自然で健康的な印象につながる仕上がりを目指します。
一般歯科との違い
【費用と保険適用の有無】
一般歯科では、むし歯や歯周病などの疾患に対する治療が中心となるため、多くの処置が健康保険の適用対象となります。保険制度に基づいた材料や方法が用いられるため、費用を比較的抑えて治療を受けることが可能です。
一方、審美歯科は見た目の改善を主な目的とするため、基本的に自費診療となります。
たとえば、ホワイトニングやセラミックによる補綴(詰め物・被せ物)などは保険適用外となり、患者さまのご希望に沿った治療内容と、それに応じた費用が必要となります。
【治療の精度と技術力】
一般歯科では、歯の機能を回復することを第一に考え、必要最低限の処置で健康状態を維持することが基本となります。使用できる材料や技術に制限がある場合もあり、見た目よりも機能の改善に重点が置かれます。
一方、審美歯科では高い審美性と精密な適合が求められるため、より高度な技術と専門的な知識が必要となります。たとえばセラミックを用いた補綴では、色調や質感を周囲の歯と丁寧に合わせながら仕上げていくため、歯科医師の技術力が治療結果に大きく影響します。
【見た目の美しさ】
一般歯科では、歯の機能回復が主な目的であるため、見た目に関する細やかな調整までは行われない場合があります。特に保険診療では、審美性に関する選択肢が限られていることも少なくありません。
一方、審美歯科では、歯の色・形・並びだけでなく、歯ぐきとのバランスや口元全体の調和までを考慮した治療を行います。自然で美しい口元を実現することで、患者さまご自身の表情や自信にも良い影響を与えることができます。
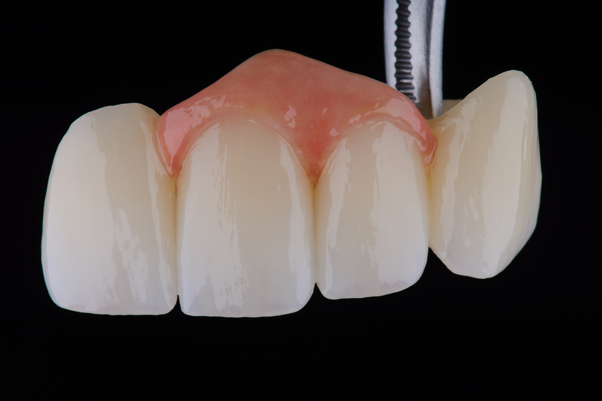
強さと美しさを両立する被せ物・詰め物
ジルコニアとは?

ジルコニアはセラミック素材のひとつで、非常に高い強度と耐久性を備えているのが特徴です。これまでのセラミックは割れやすいため、強い力がかかる奥歯の治療には適さない場合もありましたが、であれば奥歯や歯ぎしりがある方にも安心して使用できるようになりました。
見た目の自然さに加え、強度も兼ね備えているため、被せ物や詰め物、インプラントの被せ物など、幅広い治療に活用されています。
ジルコニアのメリット
強くて壊れにくい
ジルコニアは、日常の噛む力にしっかり耐えられる強い素材です。小さなヒビが入っても、それ以上広がりにくい性質があり、長く安定して使える点が大きな魅力です。
幅広い治療に対応
ジルコニアは、前歯・奥歯を問わず使用できるだけでなく、ブリッジやインプラントの被せ物など、さまざまな治療法に適応しています。素材としての使いやすさが高く、治療の選択肢が広がります。
むし歯の再発を防ぎやすい
歯とのすき間ができにくく、細菌の侵入を防ぎやすいため、むし歯の再発リスクを抑える効果が期待できます。また、表面がなめらかで汚れがつきにくく、変色しにくいため、清潔な状態を保ちやすい素材です。
金属アレルギーの心配がない
ジルコニアは金属を使わない素材(メタルフリー)のため、金属アレルギーのある方でも安心してご使用いただけます。身体にやさしく、長期的な使用にも適した素材です。
当院の詰め物・被せ物メニュー
ジルコニアセラミック

ジルコニアセラミックは、内側に強度の高いジルコニアを使用し、外側をセラミックで覆った被せ物です。人工ダイヤモンドとも呼ばれるジルコニアを土台にしているため、通常のセラミックよりも10倍以上の強度を誇ります。
噛む力が強い奥歯にも安心して使用でき、耐久性や安全性はもちろん、汚れがつきにくく見た目も美しいのが特長です。光を通しつつ色の遮蔽性も高いため、歯に変色があっても自然できれいに仕上がります。
e-max

e-maxはニケイ酸リチウムを強化したガラスセラミックで作られた被せ物です。通常のセラミックより強度が高く、変色しにくいため長持ちしやすい素材です。
天然歯のように光を透過するため、自然で美しい白い歯を再現できます。そのため、見た目が特に目立つ前歯の治療に多く用いられます。
フルジルコニア
フルジルコニアは、内側も外側も全てジルコニアで作られた被せ物です。非常に高い強度と耐久性を持ち、奥歯の噛む力が強い方や歯ぎしりのある方にも適しています。
金属を使用しないため金属アレルギーの心配がなく、透明感はセラミックに劣りますが、天然歯に近い自然な見た目に仕上がります。頑丈さを重視する方におすすめです。
ラミネートベニア
ラミネートベニアは、主に前歯や小臼歯の見た目を整える治療です。歯の表面を薄く削り、セラミック製の薄い板を貼り付けることで美しい歯並びや色を実現します。
変色や小さな歯、すきっ歯などの改善に適しており、歯を削る量が少ないため負担を最小限に抑えられます。短期間で自然な美しさを手に入れられるのも魅力です。
ダイレクトボンディング

ダイレクトボンディングでは、ハイブリッドセラミックの白いペーストを直接歯に詰め、色や形を整えてから光で固めます。
前歯の隙間や小さな欠損の見た目を改善する治療で、削る量が少なく、短時間で治療が完了します。接着性の向上により耐久性も高く、むし歯の再発リスクも抑えられます。
ゴールド
ゴールドは金合金や白金加金などで作られた被せ物です。生体親和性に優れ、金属アレルギーの心配が少なく、歯ぐきが変色するリスクも低い素材です。
丈夫で耐久性が高く、適合性も良いため二次カリエスの予防にも役立ちます。ただし、金色が目立つため奥歯など目立たない部分での使用がおすすめです。
前歯の美しさを整える治療
ラミネートベニア

ラミネートベニアは、歯の表面をほんのわずかに削って、薄いセラミック製の板を貼り付ける治療です。
爪にネイルチップを重ねるようなイメージで、歯の見た目を整えるための方法です。
削る量は0.3〜0.5mmほどと少なく、歯への負担が少ないのが特徴です。
歯の形や色、大きさ、すき間などを自然な印象に整えられるため、前歯の見た目が気になる方に向いています。
【このような方におすすめです】
- 歯がすり減っている、小さな欠けがある
- 前歯のすき間が気になる
- 歯のサイズが小さくてバランスが悪い
- 軽いねじれや傾きがある歯を整えたい
ラミネートベニアは、短い期間で自然な見た目を手に入れたい方に適した治療です。
ダイレクトボンディング(前歯の隙間や小さな欠陥)

ダイレクトボンディングは、歯のすき間や欠けた部分、むし歯の治療跡などを、歯科用の樹脂(レジン)で直接きれいに修復する治療です。
素材を少しずつ盛り付けながら形を整えるため、仕上がりがとても自然になります。
見た目にこだわりたい方にとって、比較的気軽に受けやすい治療です。
メリット
- 治療回数が少ない
- 色や形が自然に仕上がる
- 変色しにくく、きれいな状態が続く
- セラミックより費用を抑えられる
- 歯を大きく削らずにすみ、短い期間で治療できる
- 部分的な補修も可能なので、何かあったときにも調整しやすい
ICON(ホワイトスポット除去)
ホワイトスポットとは、歯の表面に見られる白っぽい点や模様のことです。前歯にあると特に目立ちやすく、笑ったときなどに気になりやすいため、見た目のコンプレックスにつながることもあります。
この白濁は、エナメル質のミネラルが減少し、表面に“微細な穴(ポーラス)”ができることで光が乱反射し、白く見える状態です。
当院では、この白濁部分に薬剤(Icon®)を浸透させ、光の透過性を整えることで自然な色調に近づけるアイコン治療を行っています。 歯を削らずに行えるため負担が少なく、処置も比較的短時間で完了することから、忙しい方にも受けていただきやすい治療方法です。
メリット
- 歯を削らずに治療できる(MI治療)
- 短時間で完了(1本あたり30〜60分程度)
- 痛みがほとんどなく、麻酔が不要なことが多い
- 治療後すぐに自然な色調に近づく
- セラミックやレジン充填よりも歯への負担が少ない
- ホワイトニングでは改善しにくい白濁にも対応
このような方にお勧め
- 前歯に白い点がある
- ホワイトニング後に白い模様が出てきた
- 矯正治療後に白斑ができた
- 生まれつき白い模様がある
- 茶色っぽい斑点が気になる
見た目の悩みをできるだけ削らずに改善したい方に適した方法です。
口元のバランスを整える治療
ガミースマイル治療

笑った際に上あごの歯ぐきが大きく見える「ガミースマイル」にお悩みの方は少なくありません。歯ぐきが必要以上に露出することで、笑顔に自信が持てず、口元を隠してしまうなど、日常のコミュニケーションに影響を及ぼすこともあります。 ガミースマイルには明確な基準はありませんが、一般的には、歯ぐきの露出が2〜3mm以上になると、気になると感じる方が増えると言われています。原因は骨格の特性や歯の位置、唇の動き方などさまざまで、見た目の印象にも大きく影響します。
当院では、まず丁寧な診査・診断を行い、患者さまのご希望やお口の状態に合わせた治療方法をご提案しています。
口元の印象を整えることで、笑顔に自信を持ちたいとお考えの方は、お気軽にご相談ください。
治療法
ボツリヌス治療
ガミースマイルの原因には、骨格のバランス、歯の位置や大きさ、口唇や表情筋の動きなど、さまざまな要素が関係しています。その中でも、筋肉の働きによって唇が過度に引き上げられるタイプには、ボツリヌス治療(ボトックス注射)が効果的です。
上唇を引き上げる「上唇尾翼挙筋」や「上唇挙上筋」などの表情筋にボトックスを注入することで、上唇の動きを一時的に和らげ、笑った際に見える歯ぐきの範囲を自然に抑えることができます。施術は左右の小鼻付近にバランスよく行い、自然な表情を保ちながら口元の印象を整えることが可能です。
矯正歯科治療
ガミースマイルの原因が骨格や歯並びにある場合、多くのケースで矯正治療による改善が可能です。上顎の突出や長さなど、骨格的な問題が大きい場合には、外科手術と矯正治療を組み合わせた外科的矯正治療を行うこともあります。
また、近年では「歯科矯正用アンカースクリュー」を用いることで、外科手術を行わずに矯正治療のみでガミースマイルを改善できるケースも増えています。この方法により、より低侵襲で自然な仕上がりを目指すことが可能です。
歯冠長延長術(Crown Lengthening)
骨格性のガミースマイルの場合、上顎の骨の位置や形態が影響していることがあります。そういったケースで適応となるのが「歯冠長延長術」です。
歯冠長延長術とは、歯肉の一部を切除し、必要に応じて骨の形を整えることで、歯の見えている部分(歯冠)をより長く見せる外科処置です。軽度〜中等度のガミースマイルに多く用いられる方法で、歯ぐきのラインを審美的に整えることが可能です。
自然な美しさと機能性を両立する審美治療
当院の審美歯科では、自然な美しさと機能性を両立する治療をご提供しています。
強度と耐久性に優れたジルコニア・セラミックの被せ物や詰め物で、奥歯から前歯まで幅広く対応可能です。
また、前歯の形や色の改善にはラミネートベニアやホワイトスポット除去(ICON)を用い、歯を削る量を最小限に抑えつつ美しい口元を実現します。
さらに、笑ったときに歯ぐきが目立つ「ガミースマイル」には、ボツリヌス治療による手軽で短時間の治療が可能です。術後は自然な表情を保ちながら、日常生活への影響もほとんどありません。
当院では、患者さま一人ひとりの歯の状態やご希望に合わせたオーダーメイドの審美治療を行っています。口元の美しさと健康を両立させたい方は、ぜひお気軽にご相談ください。
